Nhu cầu nuôi các loại thú cưng ngày càng phát triển và trở thành trào lưu, sở thích của nhiều người, nhiều gia đình. Thế nhưng, ít ai ngờ rằng, chính việc tiếp xúc quá gần gũi với thú cưng lại là nguyên nhân làm gia tăng bệnh nhân nhiễm giun đũa chó, mèo trong thời gian gần đây.
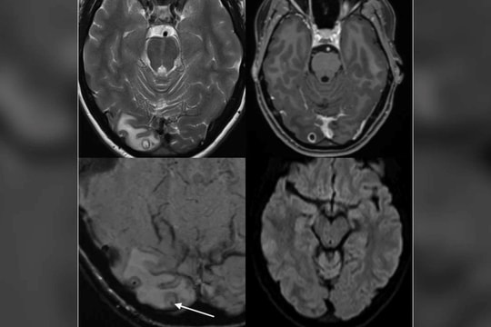
Thậm chí, ký sinh trùng này có thể đi khắp cơ thể, trong đó nguy hiểm nhất là gây tổn thương ở não, gan, phổi và mắt.
Tiếp nhận điều trị cho nhiều bệnh nhân nhiễm giun đũa chó, mèo, Phó Giáo sư - Tiến sĩ Đỗ Trung Dũng, Trưởng khoa Ký sinh trùng (Viện Sốt rét - ký sinh trùng - côn trùng trung ương) cho biết, bệnh nhân đến khám chủ yếu với triệu chứng ban đầu là ngứa. Đa phần người dân nghĩ ngứa là đến khám tại chuyên khoa da liễu. Thậm chí, có người bị ngứa 5-10 năm điều trị không khỏi, nhưng khi đến Viện Sốt rét - ký sinh trùng - côn trùng trung ương thì phát hiện ra nhiễm giun đũa chó, mèo.

Quá trình điều trị, có người đáp ứng nhanh, nhưng có người phải dùng 2-3 liệu trình mới khỏi. Khi nuôi thú cưng, nếu phân của chúng không được xử lý đúng sẽ làm cho giun đũa chó, mèo lây lan qua tiếp xúc trực tiếp, lây nhiễm vào nước uống, đồ ăn, thậm chí có thể lây nhiễm qua đường hít thở.
“Đặc biệt, chó nhỏ nhiễm giun đũa rất nhiều. Mỗi ngày, thú cưng này có thể thải ra hàng nghìn trứng giun. Điều đáng lo ngại là, số lượng bệnh nhân nhiễm ấu trùng này đang gia tăng trong thời gian gần đây và dù có uống thuốc tẩy giun định kỳ 2 lần/năm cũng không tẩy được giun đũa chó, mèo mà phải thực hiện theo lộ trình cụ thể”, Phó Giáo sư - Tiến sĩ Đỗ Trung Dũng lưu ý.
Hiện nay, nhiều người nuôi thú cưng, chơi, ôm ấp và ngủ cùng chúng… là nguy cơ rất lớn để bệnh giun đũa chó, mèo lây lan và phát triển. Trong năm 2023, tại Viện Sốt rét - ký sinh trùng - côn trùng trung ương đã ghi nhận các trường hợp đến khám do nhiễm ký sinh trùng như: Giun, sán, ấu trùng giun đũa chó, mèo... tăng đột biến. Có thời điểm, mỗi ngày, Viện tiếp nhận từ 300 đến 400 người đến khám; trong khi trước đó chỉ có trung bình gần 200 người/ngày.
Điều đáng nói, nếu như trước, các ca nhiễm giun sán chủ yếu là các loại giun đũa, giun tóc, giun kim… thì hiện nay, bệnh nhân nhập viện chủ yếu là do nhiễm giun đũa chó, mèo.
Theo Phó Giáo sư - Tiến sĩ Đỗ Trung Dũng, các bệnh nhân đến khám do nhiễm ký sinh trùng, có thời điểm đến 70% bị nhiễm ấu trùng giun đũa chó, mèo.
Khi nhiễm ấu trùng này, tùy vị trí khác nhau mà biểu hiện khác nhau, trong đó có một số biểu hiện rõ rệt là ngứa kéo dài, nổi mề đay, nốt ban… do ấu trùng di chuyển dưới da. Ngoài ra, người bệnh có thể bị đau bụng, đau đầu, sốt, tổn thương da…
Từ đó, bác sĩ đưa ra khuyến cáo, nếu người dân thấy xuất hiện các biểu hiện như: Ngứa, nổi mẩn, đau đầu, đau bụng, ho, rối loạn giấc ngủ, thay đổi hành vi (thèm ăn, lo lắng, bất an...) nên lập tức đến thăm khám tại cơ sở y tế để được chẩn đoán chính xác bệnh.